miodeya.com
HOME
About
Contact
Disclaimer
Privacy
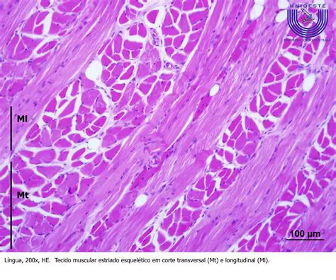
Armazenagem de calor no tecido muscular
Oct 13, 2025
by miodeya.com
16
views